【摘要】颅骨骨折是指颅骨受到猛烈作用而引起颅骨结构改变,颅骨骨折占颅脑损伤的15% ~ 20%,颅骨骨折是颅内疾病损伤的危险信号。
【关键词】骨密度检测仪
颅骨骨折是指颅骨受到猛烈作用而引起颅骨结构改变,颅骨骨折占颅脑损伤的15% ~ 20%,颅骨骨折是颅内疾病损伤的危险信号。

SDGK骨密度检测仪常见问题-颅骨骨折应该怎么办呢?
分类:
颅骨骨折按类型可分为线形颅骨骨折和凹形颅骨骨折两种。线状颅骨骨折一般不需要特殊治疗。如果骨折的位置影响到功能区域,或者骨折广泛,或者骨折显著影响患者的外观,则考虑手术治疗凹性颅骨骨折。颅骨骨折还可按骨折开放性程度分为开放性骨折和闭合性骨折。开放性骨折发生在骨折后,当骨折碎片到达硬脑膜下时,脑组织暴露在空气中,增加颅内感染的风险。此时,颅内感染需要抗生素预防。如果是闭合性颅骨骨折,则无需考虑感染的风险。
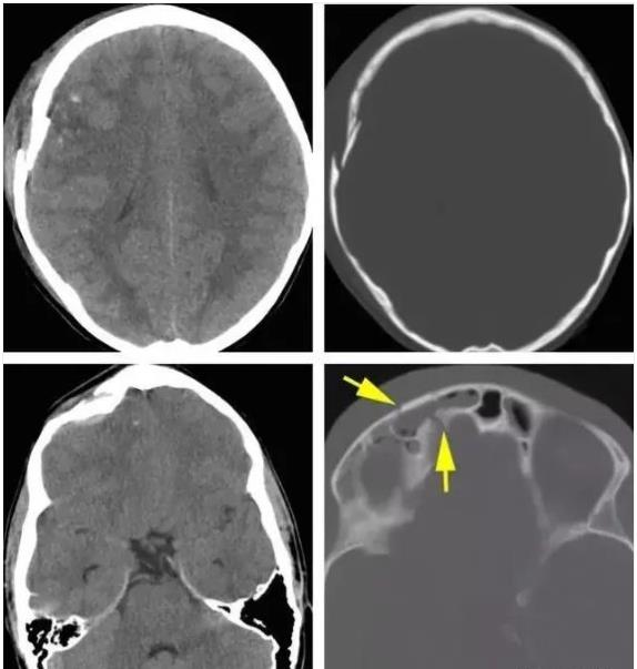
影像学表现:
根据形态的不同,可出现凹陷、线状、粉碎性和空洞性等,外伤后颅内气体可提示颅骨骨折。
颅骨骨折是常见的,往往是由于钝力或穿透伤,大多数不需要特殊治疗,所以骨折本身并不重要。而颅骨骨折的发生与暴力动作的方向、大小和减速距离密切相关。由于颅骨骨折常并发脑、脑膜、颅内血管及神经损伤,如不及时处理,可引起颅内血肿、脑脊液漏、颅内感染等并发症,影响预后。因此,及时、有效、正确的诊断和治疗显得尤为重要。